´ó´óÀÌ Àü½Å¸¶ºñ Èıâ [41]

¡ã ¸Ç¹Ø ¡å
´Ü¿¤
¾Æ¹ÙŸ/ÂÊÁö/±Û°Ë»ö

ÀÛ¼º 2019-05-24 00:26:38
À̵¿ 2019-05-24 13:38:36
444 1 41 42,828

¨Û Ãßõ  ¨á ´ÜÃàURL
¡è º¹»ç ÈÄ ºÙ¿©³ÖÀ¸¼¼¿ä.
 ±â±â¸¦ °¨ÁöÇÏ¿© ÃÖÀû URL ·Î º¸³»ÁÝ´Ï´Ù.
´Ü¿¤
https://humoruniv.com/pds873814 URL º¹»ç

 

 

 

5¿ù 20ÀÏ, ¸Û¸ÛÀÌµé ´ë¸®±¸ Áý µÞ»êÀ¸·Î »êÇàÀ» ´Ù³à¿Ô´Ù.

 

Àú³á½Ä»ç ÀÌÈÄ·Î °©Àڱ⠺ñ¸íÀ» Áö¸£±â ½ÃÀÛÇÑ ÇØ¸Ó.

 

ÀÚ±âÇ¥ÇöÀ» Àß ÇÏÁö¾Ê´Â ¼º°ÝÀÇ ÇØ¸Ó´Â ±× ´ÙÀ½³¯ÀÎ 21ÀÏ

 

¸¸³ªÀÌ·Î Á¤È®È÷ 10.5»ì £¨3830ÀÏ£© À» ä¿ü´Ù.

 

 

 

 

Á¾Á¾ ´Ù´Ï´ø Áý ±Ùó µ¿¹°º´¿øÀº ½Ã°£ÀÌ ´Ê¾î¼­ ´Ý¾Æ¹ö·È°í,

 

¾È¾ç½Ã Á߽ɿ¡ ÀÖ´Â 24½Ã µ¿¹°ÀÇ·á¼¾ÅÍ¿¡ ³»¿øÇß´Ù.

 

»ç½Ç ÇØ¸Ó´Â »ç¶÷³ªÀ̷Πȯ°©À» Áö³½ ³ªÀÌ,

 

°Ô´Ù°¡ ÇØ¸ÓÀÇ ¾Æºñ°ßÀÎ °õÀÌ´Â 5³âÀ» ½ÅºÎÀüÀ¸·Î Åõº´ÇÏ´Ù 

 

8»ì¿¡ ¼¼»óÀ» ¶°³µ±â¿¡

 

¾î´ÀÁ¤µµ °¢¿À´Â Çϰí ÀÖ¾ú´Ù.

 

 

 

 

 

À̹ø¿¡ ÃÔ¿µÇÑ ¹æ»ç¼±»çÁøÀ» ¹ÞÁö´Â ¸øÇß´Ù.

 

±×·¯³ª À۳⿡ °Ë»çÇÑ ¹æ»ç¼±»çÁø¿¡¼­µµ 

 

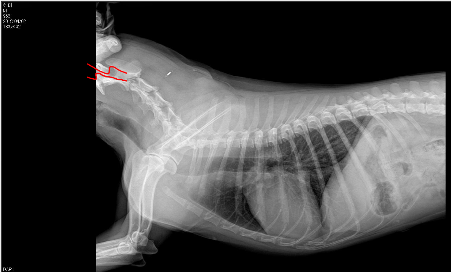
¸ñ»À°¡ ÀÌÅ»ÇØ¼­ ô¼ö°¡ Áö³ª°¡´Â Åë·Î¸¦ ´©¸£°í Àִ°Ô

 

½ÉÁö¾î Áö±Ýº¸´Ù ´õ ºÐ¸íÇÏ°Ô º¸ÀδÙ. £¨µÎ ¹øÂ° »çÁø£©

 

ÀÌ ³¯, Áø·á½Ç¿¡ µé¾î°¡±â Àü¿¡µµ

 

5~6Ãʰ£ ºñ¸íÀ» Áú·¶À» Á¤µµ·Î ÅëÁõÀº ½ÉÇßÁö¸¸,

 

¾îµð°¡ ¾ÆÇÂÁö.. ´ó´óÀÌ´Â ¸»ÀÌ ¾ø´Ù.

 

Àü½ÅÀ» ´Ù °Ë»çÇßÀ¸³ª, °¡Àå ÀǽÉÀÌ µÇ´ø ¼ÒÈ­±â°è´Â

 

¹®Á¦°¡ ¹ß°ßµÇÁö¸¦ ¾Ê¾Ò°í, Áø·á´Â °è¼ÓµÇ¾ú´Ù.

 

»ç½Ç ÇØ¸Ó´Â 3»ì ¹«·ÆºÎÅÍ ¹ßÀÛÀ» º¸¿´´Âµ¥, 

 

¿µÈ­ ÆÐ´Ð·ë¿¡ ³ª¿À´Â Å©¸®½ºÆ¾½ºÆ©¾îÆ®°¡ Ç÷´çÀÌ ¶³¾îÁ®¼­

 

¹ßÀÛÀ» ÀÏÀ¸Å°´Â Àå¸éÀ» »ý°¢ÇÏ¸é µÈ´Ù. 

 

 

 

 

¡â ¿µÈ­¿¡¼­µµ °ÅǰÀ» ¹°Áö´Â ¾Ê´Â´Ù ¡ê °£Áú¹ßÀÛÀº ÀÔ¿¡¼­ °ÅǰÀÌ ³ª¿Â´Ù°í ÇÑ´Ù

 

À̹ø¿¡ Àü½ÅÃÔ¿µÀ» ÅëÇØ¼­ 10³â¸¸¿¡ ¾Ë°ÔµÈ »ç½ÇÀº

 

ÇØ¸ÓÀÇ ¸Ó¸®»À µÞ ºÎºÐÀº ¸Ó¸®°¡ ±ä Á¾·ùÀÇ °ßÁ¾¿¡¼­

 

Á¾Á¾ ¹ß°ßµÇ´Â ºñÁ¤»óÀûÀÎ ÇüÅ¿´´Ù.

 

¼öÀǻ缱»ý´ÔÀº ±× °ÍÀÌ ¼±ÃµÀûÀÎ Àå¾Ö¶ó°í Çϼ̴Ù.

 

¹«½ÃÇÑ ÁÖÀγð.. 

 

¿øÀÎÀº ãÁö ¸øÇß°í, ±Í°¡ ÈÄ Àú³á¾àÀ» ¸ÔÀ¸´Ï

 

ÇØ¸Ó´Â °©Àڱ⠸ÖÂÄÇØÁ³´Ù.

 

±×·¸°Ô Áö³ª°¡³ª ½Í¾ú´Ù.

 

 

 

 

¡â ´ÙÀ½³¯ ¾ÆÄ§¿¡ »êÃ¥±îÁö¸¸ ÇØµµ ¸ÖÂÄÇߴµ¥

 

¿ÀÀüÀÏÀ» ¸¶Ä¡°í °ÆÁ¤µÇ¼­ µé·¯º¸´Ï ÀÌ ³à¼®..

 

ħ´ë¿¡¼­ ¶³¾îÁ®¼­ ¹Ù´Ú¿¡ ¾²·¯Á® ÀÖ´Ù. 

 

°æÃß°¡ ô¼ö¸¦ ´­·¯¼­, ȤÀº ÈĵκÎÀÇ ¸Ó¸®»À ÀÌÇü¼ºÀÌ 

 

½Å°æÀÇ ¹®Á¦·Î ³ªÅ¸³¯ ¼ö ÀÖ´Ù´Â °ÍÀº

 

±× Àü³¯ Áø·á½Ç¿¡¼­ µé¾ú´ø ÃÖ¾ÇÀÇ °æ¿ì¿´´Ù.

 

¸öÀ» °¡´©Áö ¸øÇÏ°í ´«¸¸ ¸»¶Ë¸»¶Ë ¶ß°íÀÖ´Â ³à¼®À» ½Æ°í

 

´Ù½Ã 24½Ã µ¿¹°º´¿øÀ¸·Î ÇâÇß´Ù.

 

 

 

 

¡â °æÃߺ¸È£´ë¸¦ Âø¿ëÇß´Ù.

 

Æò»ýÀ» Âø¿ëÇØ¾ß ÇÑ´Ù´Â °æÃߺ¸È£´ë..

 

´Ù½Ã ÃÔ¿µÇÑ ¹æ»ç¼±»çÁø¿¡¼­ 

 

°æÃß´Â ¿ÀÈ÷·Á Á¤»ó¹üÀ§·Î µ¹¾Æ°¡ ÀÖ¾ú´Ù.

 

¸¶ºñÁõ»óÀº ±Þ°ÝÈ÷ ÁøÇàµÇ¾ú°í,

 

¸¶ºñ°¡ °è¼Ó ÁøÇàµÇ¸é °á±¹ ÀÚÀ²½Å°æ°è,

 

½ÉÀå°ú Æó°¡ Á¤ÁöÇÒ ¼ö ÀÖ´Ù°í Çϼ̴Ù. 

 

 

 

 

¡â ´ÙÀ½³¯ ¿ÀÈÄ, Àü½ÅÀÌ ¸¶ºñµÇ°í ´«µµ ¹ÝÂë °¨°ÜÀÖ´ø ÇØ¸ÓÀÇ ¸ð½À

 

ÇØ¸ÓÀÇ À¯ÀÏÇÑ Ãë¹Ì´Â ´Ù¸¥ °­¾ÆÁö°¡ ¹è´¢ÇÑ ³¿»õ¸¦ ¸Ã°í 

 

±× À§¿¡ ÀÚ½ÅÀÇ ¿ÀÁÜÀ¸·Î µ¡Ä¥À» ÇÏ´Â °ÍÀε¥,

 

¸»·Î ¼³¸íÇÏ´Ï Á» ÀÌ»óÇÏÁö¸¸ ¸Û¸ÛÀÌ¿¡°Ô´Â ÀÚ¿¬½º·¯¿î °ÍÀ¸·Î

 

°Ô½Ã±Û £¨¸ÕÀú¿ÀÁÜ£© ¿¡ ´ñ±Ûµ¡±Û £¨º»ÀοÀÁÜ£© À» ³²±â´Â °Í°ú ºñ½ÁÇÑ °³³äÀÌ´Ù.

 

±×·¸°Ô ÁÁ¾ÆÇÏ´Â ¿ÀÁܹ߽εµ ¸öÁÙ·Î ºÎÃàÀ» ÇØÁáÁö¸¸

 

ÀÌ ³¯ °á±¹ ¹è´¢¿¡ ½ÇÆÐÇß´Ù.

 

Àá½Ã ÇØ¸Ó¿ÍÀÇ Ãß¾ïÀ» »ìÆìº¸ÀÚ.

 

 

 

 

¡â 2008³âµµ °Ü¿ï, ¾î¸° ÇØ¸ÓÀÇ ¸ñÀÌ ²ª.. ²ª¿©ÀÖ´Ù.

 

 

 

 

¡â ÀæÀº À̻翡µµ ¾ðÁ¦³ª ÀÛ¼ºÀÚ¿Í ÇÔ²²ÇØÁØ ÇØ¸Ó

 

º°À» °üÂûÇÏ·¯ ³ª°¬´ø ÆòÅÃÀÇ ÅÖ ºó ÁÖÂ÷Àå..

 

 

 

 

¡â 2013³â, ÃâÀå°£ ³í»ê¿¡¼­µµ ¾ðÁ¦³ª ÇÔ²²¿´´Ù.

 

 

 

 

¡â 2017³â, ÇØ¸Ó¿Í ÇÔ²² Ãâ±ÙÇÏ´ø ¾Ö°ßÈ£ÅÚ..

 

 

 


¡â ±×·¸°Ô ½ð»ì°°ÀÌ Áö³ª°£ 10³â..

 

 

 

 

¡â Áõ»óÀÌ ³ªÅ¸³ª±â Àü..

 

±×·¸°Ô ÇϷ縸¿¡ Àü½ÅÀÌ ¸¶ºñµÇ¾ú°í,

 

¿ÀÈÄ¿¡µµ ¹è´¢¿¡ ½ÇÆÐÇϸ鼭

 

¾Ð¹Ú¹è´¢ ¹æ¹ýÀ» ÀÍÈ÷±â À§Çؼ­

 

ÇÑ ¹ø ´õ µ¿¹°º´¿ø¿¡ ³»¿øÇÑ´Ù.

 

¸ÕÀú º¸³½ °õÀÌÀÇ ¸¶Áö¸· ¹ßÀÚÃë ¿µ»óÀ» ¶°¿Ã¸®¸ç 

 

Áö±Ýº¸´Â ¸ð½ÀÀÌ ÇØ¸Ó¿Í ¸¶Áö¸· ¼ø°£ÀÏÁöµµ ¸ð¸¥´Ù´Â »ý°¢¿¡

 

ÃÖ¼±À» ´Ù ÇÑ´Ù.

 

±×¸®°í ±× ³¯ ¹ã..

 

 

 

 

¡â ÀÌÆ²°£ 3ȸ ³»¿ø..

 

ºÎÃàÀ» ÇÏ¸é ¸öÀ» ÁöÅÊÇÒ ¼ö ÀÖÀ»¸¸Å­ÀÇ

 

ÈûÀÌ µé¾î°¡´õ´Ï

 

µåµð¾î ¹è´¢¿¡ ¼º°øÇÑ´Ù¤¾

 

»óŰ¡ Á¡Á¡ ÁÁ¾ÆÁöÀÚ

 

'¸¶Áö¸· ¹ßÀÚÃë' ÃÔ¿µÀº Áß´ÜÇß°í,

 

°£º´¿¡ ÁýÁßÇÏ¸ç »çÁøÀº ¾ø´Ù.


 

 

 

¡â ¿ÀÀü ÀÏÀ» ¸¶Ä¡°í ´Ù³à¿À´Â »êÃ¥¿¡¼­

 

°È±âÁ¶Â÷ ¾î·Á¿öÁø ½º½º·ÎÀÇ »óÅ ¶§¹®ÀÎÁö

 

ºÎÃàÀ» ÇØÁ൵ °È´Ù°¡ ¸ØÃç¼­ ¸ÛŸ±â¸¦ ¹Ýº¹ÇßÁö¸¸ 

 

30ºÐ°£ÀÇ ½Ãµµ³¡¿¡ ÀÀ°¡µµ ¼º°øÇß´Ù¤¾

 

£¨Å­Á÷ÇÑ ÀÀ°¡°¡ ÇÏÆ®¾Æ·¡ °¡·ÁÀÖ´Ù£©

 

ÀÀ°¡¸¦ º¸°í ÀÌ·¸°Ô ±â»¼´ø ÀûÀÌ ÀÖ¾úÀ»±î.. 


Àü½Å¸¶ºñ°¡ ÁøÇàµÇ¸ç ¹ß¸ñ¹Ý»ç°¡ ¾ø¾îÁ³´Âµ¥ 

 

»çÁø¿¡µµ ¹ß¸ñÀº ¾û¶×ÇÑ ¹æÇâÀ» À¯ÁöÇϰí ÀÖ´Ù.

 

ÇÏ·çÇÏ·ç Á¶±Ý¾¿ ÈûÀÌ µé¾î°¡¸é¼­

 

22ÀÏ Àú³áÀÇ »êÃ¥¿¡¼­ ºÎÃàÀº ÇØÁáÁö¸¸ 

 

3m Á¤µµ¸¦ ½º½º·Î °È´õ´Ï

 

¿À´Ã µÎ ¹øÀÇ »êÃ¥¸ðµÎ ½º½º·Î °É¾î¼­ °ø¿ø±îÁö ´Ù³à¿Ô´Ù¤¾

 

Áö³­ ÀÌÆ²Àº Á¤¸» ±æ°Ô ´À²¸Á³´Ù.

 

±×µ¿¾È ¸øÇØÁØ ¸¹Àº °ÍµéÀÌ »ý°¢³µ°í..

 

»ç½Ç ÀÛ³â Á¾Çհ˻翡¼­ ¸ðµç°Ô Á¤»óÀ¸·Î ³ª¿Â°Ô ±âÀû°°Àº ÀÏÀ̾ú´Ù.

 

 

 

 

 

¡â ¸ðµç °ÍÀÌ Á¤»ó¹üÀ§´Ù.

 

¼­¸¥µµ ¾ÈµÈ ÁÖÀεµ ÀüºÎ Á¤»ó¼öÄ¡°¡ ¾È³ª¿À´Â Ç÷¾×°Ë»ç¿¡¼­..

 

»ç½Ç ±Û ÀÛ¼ºÇÏ´ø Ãʹݿ¡

 

È¥ÀÚ¼­ È­Àå½Ç¿¡ µé¾î°¡ ÀÀ°¡¸¦ ´©´ø ÇØ¸Ó´Â

 

±× À§·Î ÁÖÀú¾É¾Æ

 

¶æ ÇÏÁö ¾Ê°Ô »þ¿öµµ Çϰí¿ÔÁö¸¸..

 

ÇÏ·çÇÏ·ç ȸº¹ÇÏ´Â ¸ð½À¿¡

 

´õ ÀÌ»ó ¹Ù¶ö°Ô Àִ°¡ ½Í´Ù..¤¾

 

 

88KB
 

 

¾Æ, ÁßÇü°ß¿ë ¾îºÎ¹Ù°¡¹æ ºñ½ÎÁö ¾Ê´øµ¥ À常À» ÇØ¾ß°Ú´Ù.

 

 

¾ðÁ¦ºÎÅÍ ¿´´ÂÁö´Â ¸ð¸£°ÚÁö¸¸

 

Çö½Ç¿¡ ¾ÈÁÖÇØ¹ö¸° ³» ¸ð½ÀÀÌ

 

¹«¼·´õ¶ó.

 

´õÀÌ»óÀÇ º¯È­´Â ÇÊ¿äÇÏ´Ù°í ´À³¢Áö ¾Ê´Â ³» ¸ð½À..

 

ÇÏÁö¸¸ À̹ø ÀÏÀ» ÅëÇØ¼­

 

º¯È­´Â ³»°¡ ¿øÇÏÁö ¾Ê¾Æµµ ½ÃÀÛµÉ °ÍÀ̰í

 

¾ðÁ¨°¡ ±×¸®¿öÁú Áö±Ý ÀÌ ¼ø°£Àº

 

ÇÑ ¼ø°£À̰í, ¹«¾ùº¸´Ù ¼ÒÁßÇÏ´Ù.

 

// 

 

 

¼¼ÁÙ¿ä¾à

 

1£© ÀÛ¼ºÀÚÀÇ ¸Û¸ÛÀÌ´Â ¸çÄ¥°£ Àü½Å¸¶ºñ¸¦ °Þ¾úÀ¸³ª ÇÏ·çÇÏ·ç ³ª¾ÆÁö°í ÀÖ´Ù. 

2£© Áø·áºñ : 186,200¿ø + 91,300¿ø + 55,400¿ø = ¼±¹æÇß´Ù;

3£© Áö±Ý ÀÌ ¼ø°£ÀÌ ÀÌ»óÀûÀÌÁö´Â ¾ÊÀ»Áö ¸ô¶óµµ, ¾ðÁ¨°¡ ±×¸®¿öÁú °ÍÀ̶ó°í ´À²¼´Ù.

 

* ÄÁÅÙÃ÷ Ãâó : ÀÛ¼ºÀÚ º»ÀÎ

¨Û °Ô ½Ã ¹°    Ãß Ãµ ÇÏ ±â
  ·Î±×ÀÎ ¾øÀÌ Ãßõ°¡´ÉÇÕ´Ï´Ù.
ÃßõµÇ¾ú½À´Ï´Ù.
÷ºÎÆÄÀÏ ´Ù¿î·Îµå
´ä±Û º£½ºÆ®
(½ºÅ©¸°¼¦)
comm_best.png
001.jpg
002.jpg
´õº¸±â
¨Û Ãßõ   ¨ä ¹Ý´ë   ¨Þ ´ä±Û   ¢Ç ¸ñ·Ï
¡ç µÚ·Î   ¡è ¸ÇÀ§   ¡é ¸Ç¹Ø   ¨· ½Å°í   ¢½ ½ºÅ©·¦
¡ç µÚ·Î   ¡è ¸ÇÀ§   ¡é ¸Ç¹Ø   ¨· ½Å°í   ¢½ ½ºÅ©·¦
´ä±Û ÀÛ¼ºÇϱâ (·Î±×ÀÎ ÇÊ¿ä)
·Î±×ÀÎ   ¸ÞÀÎ   »çÀÌÆ®¸Ê   PCÈ­¸é